Dr Stephan Grüninger
Orthopädenbäumchen nach Moritz

Ich behandle sicher viele verschleißbedingte Rücken-, Knie- und Hüftprobleme, allein schon durch die traurige Häufigkeit dieser Erkrankungen. In den meisten Fällen kann man die Beschwerden durch geeignete Maßnahmen lindern, lassen Sie uns darüber sprechen!  

In Anbetracht des eingeschränkten Erfolges der menschlichen Bemühungen stelle ich Operationsindikationen zurückhaltend. 

In dem Zusammenhang hat es mich ein wenig getroffen, dass eine hausärztliche Kollegin mir unlängst auf meine Frage antwortete: „Wenn ich will, dass der Pat. operiert wird, schicke ich ihn/sie zum Kollegen xy, andernfalls zu Ihnen“. 

Ich habe sicher nichts gegen Operationen, aber ich hätte gerne zufriedene Patienten. Deshalb ist es wichtig, die Risiken und Erfolgsaussichten der einzelnen Eingriffe zu kennen und gegen die Beschwerden der Erkrankten abzuwägen. Und da überblicke ich in meinem Fach vermutlich doch mehr als die Kollegin.Es hat mich ehrlich irritiert.


Viel Erfahrung besteht in der Kinderorthopädie durch 5jährige Tätigkeit im Olgahospital Stuttgart. Dort lernte ich das gesamte Spektrum der Kinderorthopädie vom Knickfuß bis zur komplexen Störung.


Die Betreuung und technische Versorgung von Fußproblemen erfolgt in langjähriger Zusammenarbeit mit den Sanitätshäusern bzw. Orthopädieschuhmachern in der Nähe.


Ein kleines Steckenpferd ist die Diagnostik von rheumatisch-entzündlichen Erkrankungen und Stoffwechsel-bedingten Knochenerkrankungen.


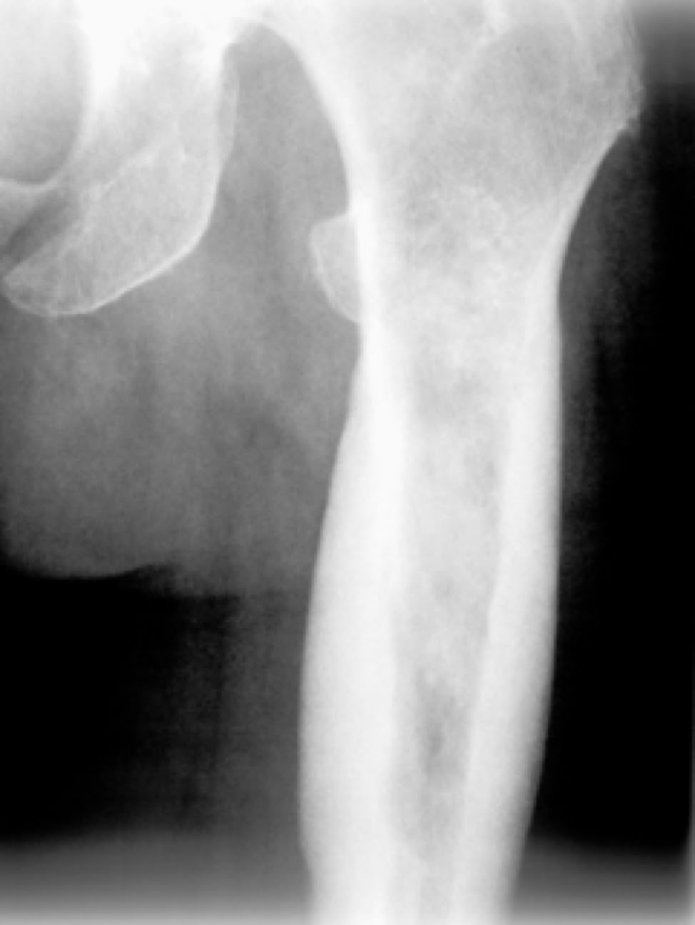
Leider besteht auch einiges an Erfahrung mit Knochen- und Weichteiltumoren.


Was ich nicht leisten kann: Behandlung von im eigentlichen Sinne gar nicht orthopädischen Krankheitsbildern wie  Erschöpfungssyndromen oder Fibromyalgie. Dazu gibt es gute Fachleute, die auch ihr Brot verdienen sollen, z.B die Rheumatologische Schwerpunktpraxis CIRS 

Tumor femur
Ohr mit Psoriasis
Praxissignet Dr Grüninger, Variante des orthopädenbäumchens co Moritz

Diese Website verwendet Cookies. Bitte lesen Sie unsere Datenschutzerklärung für Details.

Alle akzeptieren